天津医大总医院心血管外科梁德刚主任团队与神经外科脑血管病专业杨新宇主任团队,心系病患,团结协作,勇于创新,近期在麻醉、综合ICU科室的联合协助下,成功完成本市第二例颈动脉内膜剥脱联合心脏冠脉搭桥手术,效果良好,第一位患者已经顺利治愈出院一年余,本次手术患者亦恢复良好,术后一周即可活动正常,目前已经出院。
经过冠脉造影检查后发现李大爷3支冠脉血管严重狭窄,需要做冠脉搭桥手术,入院后经过进一步的完善检查,发现颈内动脉重度狭窄。超声和CTA显示右侧颈内动脉90%重度狭窄,左侧颈内动脉轻度狭窄小于50%。诊断李大爷同时患上了:
1.冠状动脉性心脏病 不稳定型心绞痛心功能Ⅲ级(NYHA)
2.右侧颈内动脉狭窄(重度) 。
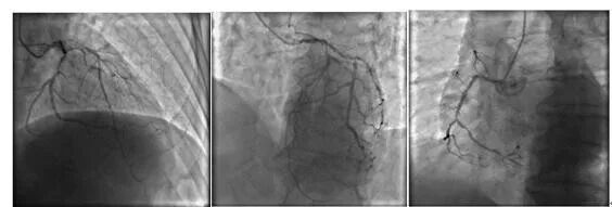
▲冠脉造影示:回旋支重度狭窄;前降支近端重度狭窄,全程弥漫性狭窄;右冠重度狭窄
▲超声示:右侧颈内动脉重度狭窄70-90%,左侧颈内动脉轻度狭窄小于50%,颈、头CTA证实:右侧颈内动脉起始处官腔重度狭窄,左侧颈内动脉起始处,双侧颈总动脉官腔轻度狭窄
心血管外科医生与脑血管外科医生会诊后认为无论先行冠脉搭桥还是颈动脉内膜剥脱术,李大爷都要承受很大的心脑血管意外风险,同期手术对患者是最佳选择,这即降低了手术风险又可最大的节省患者费用。但此类心脑血管联合手术国内开展很少,难度很大,风险较高,医生将手术治疗的风险、可行性及必要性告知患者家属,其表示理解并迫切要求手术治疗。
▲成功剥除颈动脉内膜,术中颈动脉超声示颈动脉血管流通完好
最终决定由心血管外科联合神经外科进行“颈动脉内膜剥脱联合冠脉搭桥同期手术”。手术先由神经外科杨新宇主任进行颈动脉内膜剥脱手术,术中成功剥除颈动脉狭窄段内膜斑块,颈动脉彩超提示颈动脉血管流通完好;随后马上由心脏外科梁德刚主任成功完成冠状动脉旁路移植术(1支动脉桥,3支静脉桥)。
术后李大爷进入ICU监护,在医护人员的精心治疗下,术后李大爷顺利脱离呼吸机,神志清楚,恢复良好,症状明显改善,手术切口甲级愈合,活动正常。术后病理证实术前诊断,无任何后遗症,目前李大爷已经出院,且出院后两周门诊复查良好。
▲成功完成了冠状动脉旁路移植(1支动脉、3支静脉),术后李大爷伤口甲级愈合,意识清楚,恢复良好,活动正常
天津医大总医院在天津地区率先开展心脑血管疾病联合手术,此类同期联合手术风险高,难度大,需要心、脑血管外科、麻醉、综合重症监护协同工作,成功的手术能够从严重的心、脑多发血管疾病中挽救病人,目前我院已经完成同期手术2例,分期手术(颈动脉支架+冠脉搭桥)也完成了10例以上,没有发生围手术期不良事件,病人恢复良好。
天津医大总医院是天津地区最大的综合性医疗中心,具备成熟的心脑血管狭窄复合疑难病症的联合诊疗技术,是国内仅有的能完成此类治疗的几个单位之一。
杨新宇
博士研究生导师、神经外科脑血管病区教授
天津市神经病学研究所脑血管病研究室主任
中华医学会神经外科分会脑血管病学组委员
中国医师协会神经外科学分会专家委员
天津医学会神经外科分会秘书长
承担国家自然科学基金2项,天津市自然科学基金重点项目2项,发表英文SCI及中文论文100多篇,培养硕博士研究生38人。2004~5年日本东京女子医科大学神经外科学临床博士后,东京顺天堂大学神经解剖学部神经解剖学访问学者;2008~9年美国哈佛大学医学院附属麻省总医院访问学者,协助脑血管病中心主任Christopher S. Ogilvy教授开展脑血管病的显微外科和介入治疗工作。
擅长:
脑血管病、颅底疾病的外科和介入治疗工作。
专家门诊:
每周四下午,门诊三楼,神经外科
梁德刚
副主任医师、医学博士
天津医科大学总医院心血管外科副主任
中国医师协会心血管外科分会瓣膜分会委员
中华医学会天津分会心血管外科专业委员会委员
天津市心脏学会常务理事
毕业于佳木斯医学院临床医学系,从事心血管专科工作22年。2005年考取卫生部公派笹川医学奖学金,赴日本东京女子医科大学日本心脏血压研究所心外科临床研修1年。2012年卫生部心脏病介入培训基地北京阜外医院学习1年,获得心血管病介入治疗资质。主刀手术和介入治疗1000余例,临床能力全面,为国内同时拥有手术和介入资质的心血管外科医生之一。参与完成国家自然科学基金项目1项,获省级科技成果3项,发表专业论文30余篇,SCI8篇。
专家门诊:
每周一上午、周四上午,心血管外科

